Knee Replacement and Types
Surgery and manufacturers have made remarkable advances in joint replacement technology over the last few years. The materials are long-lasting and durable. The surgical aspects have been fine-tuned, the chances for a successful outcome are excellent.
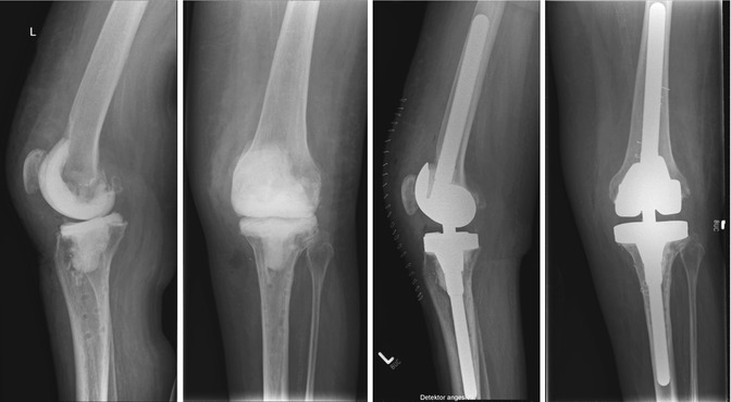
In total knee replacement (also known as total knee arthroplasty, or TKA), the joint’s bone-end surfaces are resurfaced with man-made materials. In total knee arthroplasty, the implant (prosthesis) design may vary according to your needs, but the most common implant consists of three component parts. The patella, or knee cap, is made of high-density polyethylene, which offers tremendous strength and durability. The femoral section, or thigh bone, is metal, while the tibia, or shin bone, is made of metal tray with high density polyethylene cushioning attached to the tray. The implants are held in place with Bone Cement.

In Partial Knee Replacement, also known as Unicompartmental knee replacement, only the affected compartment usually medial compartment is replaced. The criteria for patient selection for this limited version of knee replacement are strict and the chosen patient has a faster rehabilitation with good results
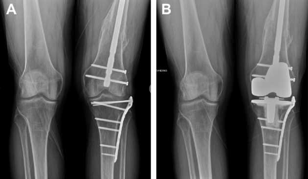
Complex Primary Knee Replacement—A challenging surgical scenario in case of previous knee surgeries with scarring and fibrosis making technical aspects more difficult. Old fractures of the shin or thigh bone resulting in malalignment which can compromise the Knee replacement and its soft tissue balancing-so crucial to a satisfactory outcome.
Revision Knee Replacement—A perfectly well-done knee Replacement may get infected or Instability may persist post knee replacement-these situations besides others may require a re do or revision knee replacement which increases patient morbidity and risks mortality too. Revision knee implants are more expensive and the procedure may involve 2 stages rather than a single stage surgery. The success rate of revision knee replacements is now approaching that of Primary knee replacement with availability of better implants and evolution of new techniques.